반응형

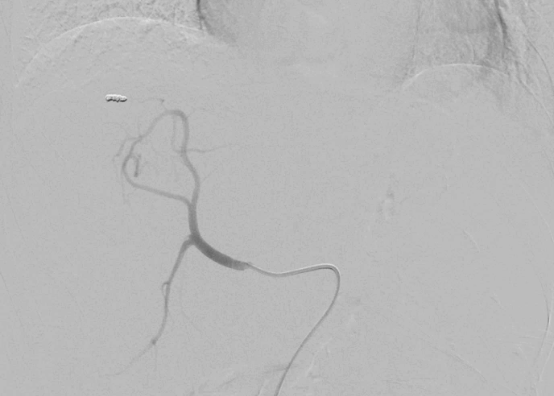
RH catheter 사용
3cc/sec, total 15cc
반응형
'인터벤션 > 인터벤션 사진' 카테고리의 다른 글
| 혈관초(Sheath) 사진 (0) | 2024.06.04 |
|---|---|
| 우측 대퇴동맥 천자 - Vascular access (초음파 사진) (0) | 2024.06.04 |
| 2022 BCLC guideline (0) | 2024.06.04 |
| 간 농양 천자 사진 (0) | 2024.04.12 |
| 도류 증후군 치료 사진 (0) | 2024.04.09 |