반응형
C.C)
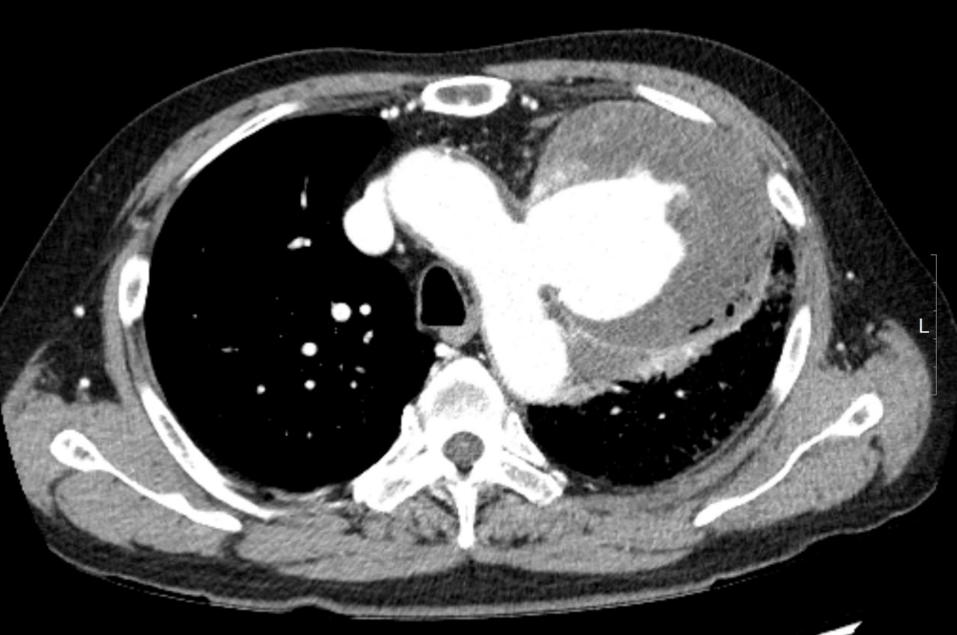
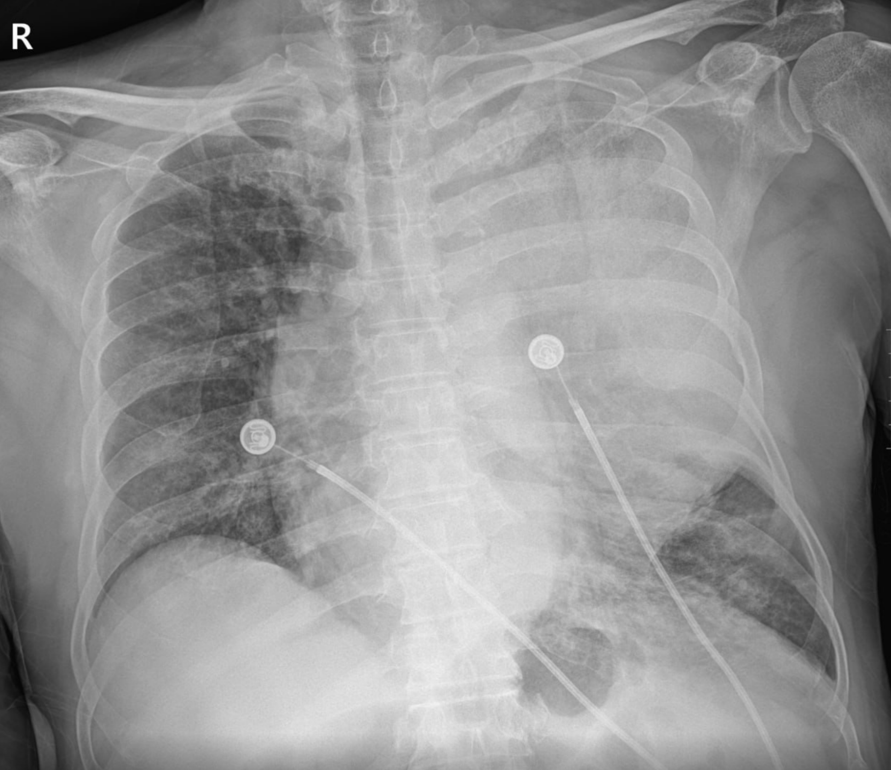
hematemsis(119) -> hemoptysis 로 판명 (L tube clear)
Result)
Expire


반응형
'인터벤션 > 인터벤션 사진' 카테고리의 다른 글
| Dilated inferior phrenic vein due to chronic sclerosis or portal vein in cirrhosis patient (0) | 2024.08.24 |
|---|---|
| Severe stenosis of brachial vein (0) | 2024.08.24 |
| 혈관초(Sheath) 사진 (0) | 2024.06.04 |
| 우측 대퇴동맥 천자 - Vascular access (초음파 사진) (0) | 2024.06.04 |
| 총간동맥 혈관조영술 (간암 환자) (0) | 2024.06.04 |