경피적 카테터 배액술 (Percutaneous catheter drainage ; PCD) 에 대해 알아보겠습니다.
2. 경피적 카테터 배액술은 어떤 상황에서 하게 되나요?
1. 경피적 카테터 배액술 (PCD 시술)이 뭔가요?
경피적 카테터 배액술 혹은 PCD 라고 불리는 이 시술은 요즘 아주 흔히 하는 시술입니다.
어떤 이유 (밑에 설명할 예정)로 몸 속 어딘가에 액체가 저류되면 예전에는 수술적 치료가 유일한 방법이었습니다.
수술로 액체가 저류된 곳 까지 진입해서 JP 라는 배액관을 설치하고 나오는 것이었죠.
하지만 인터벤션 영상의학의 발달로 이전에는 수술을 했어야 하는 많은 환자분들이 수술 없이 회복할 수 있게 되었습니다.
CT, 초음파, 그리고 엑스레이 유도 장비로 배액관을 수술없이 삽입하는 시술이 경피적 카테터 배액술(PCD 시술) 입니다.
이 시술 덕분에 합병증으로 인한 이환율, 사망율이 줄고 무엇보다도 입원기간이 줄어들게 되었답니다.
2. 경피적 카테터 배액술은 어떤 상황에서 하게 되나요?
PCD 는 정말 다양한 상황에 적용 가능합니다. 아마 이 글을 보시는 많은 분들이 PCD 시술을 해야해요 라는 의사의 말을 듣고 검색하신 분들이실텐데 제가 쭉 나열하고 사진 몇 개 보여드리겠습니다.
PCD 적응증
- 양성낭성질환
- 감염 (흔히 간 농양, 맹장염 천(막창자꼬리염)
- 수술 후 발생하는 장액종 또는 림프류
- 장천공에 의한 장내내용물 누출
- 염증성 질환에 의한 삼출이나 누출
- 조절되지 않는 복수
https://embolization.tistory.com/entry/hepaticabscess
간 농양
embolization.tistory.com
https://embolization.tistory.com/entry/Malascites
악성 복수 (Malignant ascites)
embolization.tistory.com
https://embolization.tistory.com/entry/Post-operative-fluid-collection
수술 후 액체 저류 (Post operative fluid collection)
embolization.tistory.com
https://embolization.tistory.com/entry/haninfection
외부 인공물에 의한 감염
embolization.tistory.com
3. 경피적 카테터 배액술은 어떻게 하나요?
PCD 시술은 제가 앞서 올린 PTBD, PC(PTGBD) 시술과 방법이 아주 유사합니다.
https://embolization.tistory.com/entry/PTGBD
인터벤션 영상의학과 전문의가 알려주는 경피적담낭배액술 PTGBD (PC)
경피적담낭배액술 (PTGBD) 에 대해 설명드리겠습니다. 목차 1. 경피적담낭배액술(PTGBD)? 이름이 너무 어려워요 2. 경피적담낭배액술, 어떤 사람들이 받는 건가요? 3. 경피적담낭배액술, 어떻게 하는
embolization.tistory.com
https://embolization.tistory.com/entry/PTBD
인터벤션 영상의학과 전문의가 알려주는 경피경간담즙배액술(PTBD)
경피경간담즙배액술(PTBD)에 대해 알아보겠습니다. 목차 1. 경피경간담즙배액술(PTBD)이 뭔가요? 2. 경피경간담즙배액술(PTBD)를 왜 하나요? 3. 경피경간담즙배액술(PTBD)를 꼭 해야하는 건가요? 4. 경
embolization.tistory.com
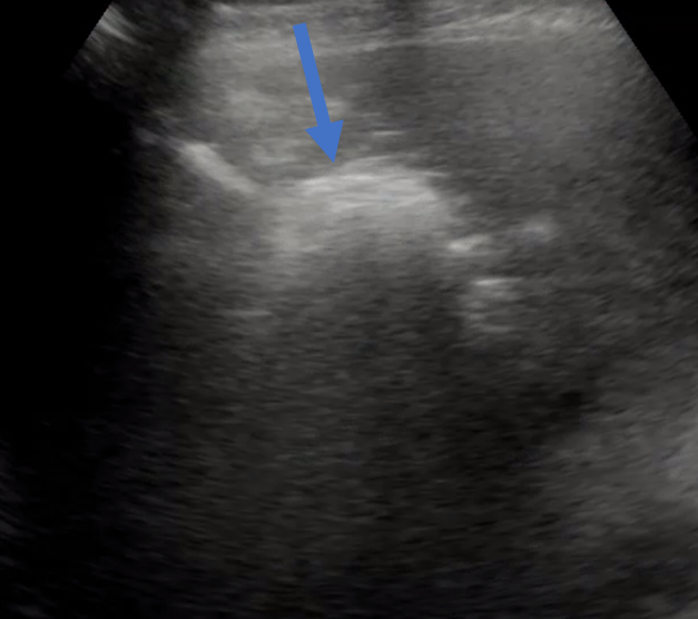
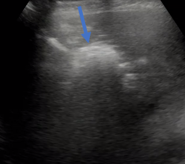
먼저, 초음파를 이용해서 목표로 하는 액체 저류(농양)이 어디서 잘 보이는지 확인합니다.

그 다음, 바늘이 진입할 부위를 국소마취 합니다. 국소마취제로는 Lidocaine 을 사용합니다.
마취가 잘 되었는지 확인한 다음 메스로 들어갈 부위를 살짝 절개합니다. 그 이유로는 배액관의 두께가 거의 3mm 이상 이기 때문에 절개를 하지 않으면 배액관의 진입이 어렵기 때문입니다.

절개한 이후에는 초음파를 보면서 위에 제가 올린 Chiba needle 이라는 바늘로 목표한 병변을 찌릅니다.
이 바늘은 뚜껑같은 게 있어서 찌르고 난 뒤에 바늘 구멍을 통해 조영제를 주입할 수도 있고 매우 가느다란 철사(와이어)를 넣을 수도 있습니다.

그래서 바늘의 뒷 부분 뚜껑을 열고 조영제를 조금 주입해서 바늘이 목표한 병변 안으로 들어갔는지 확인합니다.
잘 들어갔다는 게 확인되면 아주 가느다란 철사를 넣습니다. 이 철사의 이름은 hair wire 입니다. 마치 머리카락 처럼 가느다랗기 때문이죠.
hair wire 를 넣은 뒤에는 introducer sheath 그 다음엔 앞서 말한 hair wire 보다 조금 굵은 철사가 들어갑니다.
사실 여기까진 별로 궁금하지 않으실테니 대충 넘어가겠습니다.

마지막으로 굵은 철사를 따라 배액관이 들어갑니다.
배액관의 사이즈는 꽤 크므로 (최소 3mm 굵기) 이 과정에서 통증을 호소하시는 분들이 많습니다.

이번에는 PCD 를 언제 삽입하는지, 어떻게 삽입하는지 알아봤습니다.
다음에는 PCD 관리, 검사, 제거에 대해서 알아보도록 하겠습니다.
궁금하신 것 있으면 댓글 달아주세요
'인터벤션 > 비혈관 시술' 카테고리의 다른 글
| 인터벤션 영상의학과 전문의가 알려주는 경피경간담즙배액술(PTBD) (0) | 2024.01.20 |
|---|---|
| 인터벤션 영상의학과 전문의가 알려주는 경피적 위루 설치술 (Percutaneous gastrostomy) (3) | 2024.01.20 |
| 인터벤션 영상의학과 전문의가 알려주는 경피적담낭배액술 PTGBD (PC) (0) | 2024.01.20 |