경피경간담즙배액술(PTBD)에 대해 알아보겠습니다.

목차
3. 경피경간담즙배액술(PTBD)를 꼭 해야하는 건가요?
4. 경피경간담즙배액술(PTBD) 어떻게 하는 건가요?
5. 경피경간담즙배액술 (PTBD) 배액관, 언제 빼는 건가요?
1. 경피경간담즙배액술(PTBD)이 뭔가요?
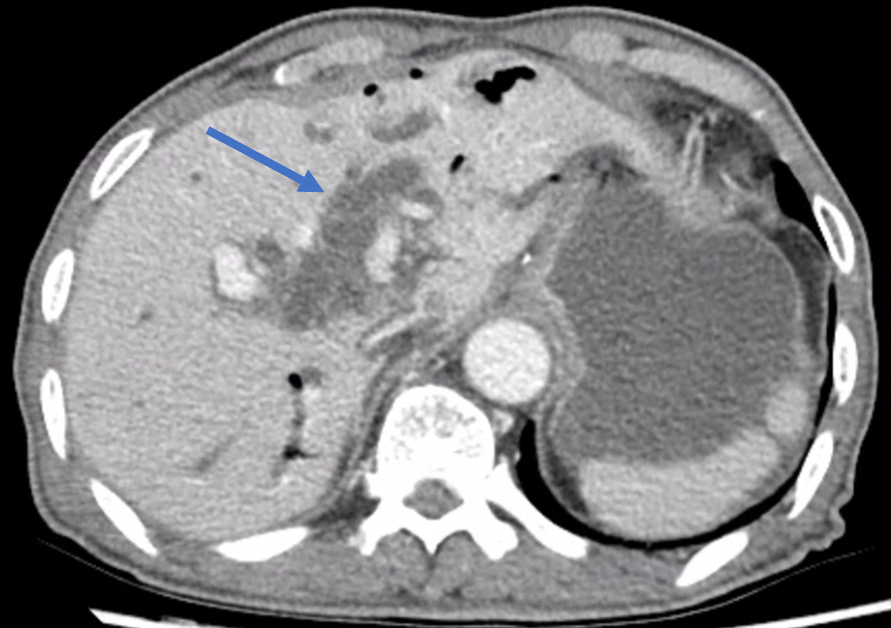
늘어난 간내담관을 직접 바늘로 천자해서 정체된 담즙을 외부로 배액시켜주는 것입니다.


이렇게 늘어나 있는 간내담관을 초음파와 엑스레이 장비를 이용해서 바늘로 찌르고, 배액관을 삽입하는 시술이 경피경간담즙배액술(PTBD)입니다.
배액관을 통해서 갈 곳을 잃은 담즙을 몸 바깥으로 빼 내 주면 담즙 정체로 인한 여러 증상이 좋아진답니다.
경피경간담즙배액술(PTBD)은
경피 : 피부를 통하고
경간 : 간을 지나서
담즙배액술 : 담즙을 배액하는 술기입니다.
2. 경피경간담즙배액술(PTBD)를 왜 하나요?
이 시술을 왜 하는지 이유를 알기 위해서는 먼저 담즙 순환에 대해 아셔야 합니다

간은 담즙을 만듭니다.
만들어진 담즙은 담낭(쓸개)에 저장됩니다.
우리가 뭔가를 먹어서 이것이 위에 들어오면 위에서 콜레시스토키닌이라는 호르몬을 분비해서 담낭을 수축시킵니다.
담낭에 저장된 담즙이 십이지장으로 분비됩니다.
이 담즙은 일부는 간문맥을 통해 간으로 돌아와서 담즙 생성의 재료가 됩니다. (쉽게 말해 재활용이죠)
그리고 일부는 변을 통해 빠져나갑니다 (변 색깔이 바로 담즙색깔입니다)
이런 일련의 과정을 담즙 순환이라고 합니다.
그런데 담석에 의해서 총담관이 막히거나
총담관이나 그 주변에 암이 생기거나 하면 담즙의 순환 경로가 막혀버립니다.
담즙의 순환 경로가 막힌 것과는 별개로 간은 끊임없이 담즙을 생성하죠
그러면 생성된 담즙이 못 나오고 자꾸자꾸 쌓입니다.
쌓인 담즙은 결국 썩게 되고
종국에는 담관염을 일으키게 됩니다.
그래서 '열'이 나고, 우상복부 통증이 생기고 황달이 생기죠 (그 유명한 Charcot's triad)

담즙이 계속해서 담관에 쌓이게 되면
간내담관이 늘어나고 압력도 점점 세집니다.
종국엔 이 정체된 담즙이 간세포 주변의 작은 혈관인 간정맥(hepatic sinusoids)을 통해 혈류로 역류합니다.
그래서 혈중 빌리루빈 수치가 상승하고 황달기가 나타나는 것입니다.
3. 경피경간담즙배액술(PTBD)를 꼭 해야하는 건가요?
담즙 정체에 의해서 담관염이 발생하면, 감염된 담관의 벽이 약해지고, 염증 반응으로 인해 혈관의 투과성이 증가합니다. 이로 인해 박테리아 또는 그 독소들이 혈관을 통해 혈류로 진입할 수 있습니다.
이로 인해서 심하면 담관염이 패혈증 까지 진행하게 되고 심하면 목숨을 잃을 수도 있습니다.
급성 담관염을 빠르게 진단하여 시술을 받으면 수월하게 회복할 수 있기 때문에 담즙 정체가 있는 분들에게 꼭 필요한 시술이며 병원에서 아주 자주 시행하는 시술입니다.
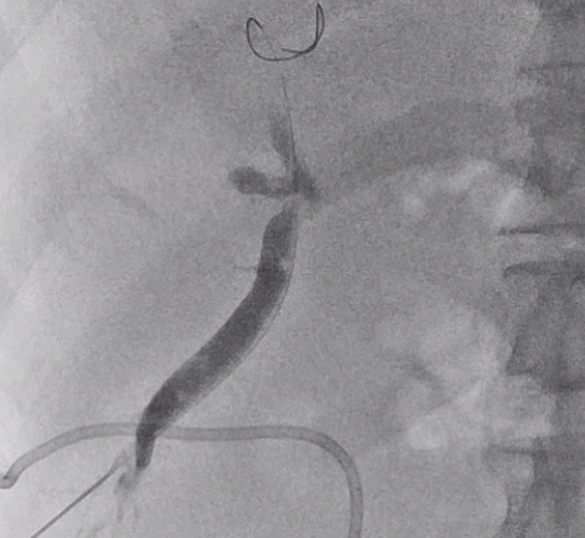
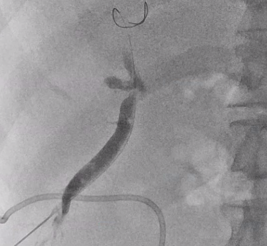
4. 경피경간담즙배액술(PTBD) 어떻게 하는 건가요?
혈관조영실에서 초음파와 엑스레이 장비를 이용해서 진행하게 됩니다.
먼저 CT를 촬영해야 하고요.
CT 촬영에서 이 환자에게 이 시술이 정말 필요한 상황인지, 시술 자체에 어려움이나 합병증을 유발할 만한 다른 요인은 없는 지 확인합니다.
다음으로 혈관조영실로 환자분을 이송 시킨 뒤
초음파로 늘어난 간내담관을 확인합니다.
위에 제가 올린 CT 처럼 간내담관이 아주 늘어난 경우에는 초음파로도 담관이 잘 보입니다.
초음파로도 잘 보이는 경우에는 초음파를 보고 바늘로 담관을 찌릅니다.

하지만? 만약 초음파에가 간내담관이 잘 보이지 않는다면
해부학적 지식을 이용해서 엑스레이 장비를 이용해서 간내담관 천자를 시도합니다. (경우에 따라선 매우 여러번 찌를 수도 있습니다. 정말 어쩔 수 없는 부분입니다.)
간내담관 천자에 성공했다면 반 이상은 끝난 겁니다

바늘을 통해 와이어를 넣고, 와이어를 따라서 배액관이 들어갑니다.
배액관은 지난 글에서 알려드렸던

이런 돼지 꼬리 모양의 카테터를 넣어 배액관이 잘 빠지지 않게끔 해줍니다. (이름도 돼지 꼬리 입니다.)

5. 경피경간담즙배액술 (PTBD) 배액관, 언제 빼는 건가요?
많은 분들이 정말로 궁금해 하실 부분이라고 생각합니다. 외래 통해서 혈관조영실 오시는 환자분들 정말 다들 뽑고 싶어 하십니다.
배에 이런 관을 가지고 있는게 정말 불편하죠.
흘러나오는 담즙도 찐득하고, 관이 제 자리에서 빠지면 피부 바깥으로 줄줄 새고 가려움증도 유발하고... 여간 불편한 것이 아닙니다.
지난 번 다른 글에서도 말씀드렸듯 시기가 딱히 정해져 있지 않습니다.
원인이 완전히 해결되지 않으면 계속 가지고 계셔야 합니다.
반대로 원인이 해결되고 담즙 순환이 잘 되는 것이 확인되면 제거를 하실 수 있죠.
그래서 환자분들께서 하실 수 있는 최선의 노력은 배액관이 제 역할을 할 수 있도록 평소에 꾸준히 관리를 잘 해주시는 겁니다.
배액관 기능이 떨어져버리면 치료기간이 더 늘어나게 됩니다.
따라서, 하루에 2, 3회씩 생리식염수로 세척해줘야 하고 그럼에도 만약 담관염의 증상이 재발하는 느낌이라면 배액관 자체가 막혔거나 이동했을 가능성이 있기 때문에 재빨리 병원으로 오셔야 합니다.
'인터벤션 > 비혈관 시술' 카테고리의 다른 글
| 인터벤션 영상의학과 전문의가 알려주는 경피적 카테터 배액술 (PCD) (0) | 2024.03.31 |
|---|---|
| 인터벤션 영상의학과 전문의가 알려주는 경피적 위루 설치술 (Percutaneous gastrostomy) (3) | 2024.01.20 |
| 인터벤션 영상의학과 전문의가 알려주는 경피적담낭배액술 PTGBD (PC) (0) | 2024.01.20 |