경피적담낭배액술 (PTGBD) 에 대해 설명드리겠습니다.
목차
1. 경피적담낭배액술(PTGBD)? 이름이 너무 어려워요
1. 경피적담낭배액술(PTGBD)? 이름이 너무 어려워요.
경피적 - 피부를 지난다
담낭 - 흔히 말하는 쓸개 입니다.
배액술 - 무언가를 배액한다는 뜻이지요.
경피적담낭배액술은 피부를 통해서 담낭에서 무언가(담즙)를 배액한다는 말 입니다.
영어로는 PTGBD (Percutaneous transhepatic gall bladder drainage) 로 많이 쓰는데요.
요즘은 PC (Percutaneous cholecystostomy) 라는 말이 더 맞는 말입니다.
PTGBD 의 transhepatic 은 간을 지난다는 의미인데 실제로 시술하다 보면 간을 지나지 않는 경우도 있거든요.
그래서 더 큰 의미의 Percutaneous cholecystostomy 가 맞는 용어라고 할 수 있겠습니다.
(환자 분들한테는 별로 쓸모 없는 정보..;)
2. 경피적담낭배액술, 어떤 사람들이 받는 건가요?
급성담낭염이 있는 분들이 바로 이 시술의 대상입니다.
- 담석이 있는 급성 담낭염
- 담석이 없는 무결석담낭염
- 담낭 축농, 담낭수종, 담낭천공
- 총담관 폐쇄 시 담즙 배액 목적
담석이 있는 급성 담낭염의 경우 수술적으로 담낭을 제거를 해줘야 하는데요. 환자의 전신 상태가 좋지 않거나 노령이라 응급 수술을 하기 어려운 경우 시간을 벌 목적으로 경피적담낭배액술을 합니다. 그렇게 시간을 번 뒤 환자분의 컨디션이 안정적으로 변하면 수술을 하는 거죠.
무결석담낭염 (담석이 없는 담낭염)의 경우 경피적담낭배액술이 궁극적 치료 방법입니다. 수술이 필요 없기 때문에 배액만 잘 해주면 건강하게 회복할 수 있습니다 ^^

3. 경피적담낭배액술, 어떻게 하는 건가요?
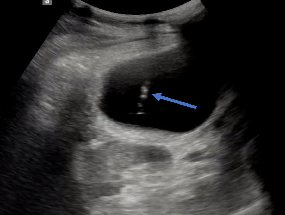
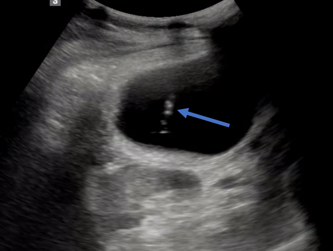
시술을 준비하며, 초음파로 먼저 담낭을 확인합니다.
그리고 정말 급성 담낭염이 맞는지 한 번 더 확인을 합니다.
확인 과정 중에 초음파 프로브로 배를 일부러 눌러봅니다.
일부러 염증이 있는 담낭을 압박해서 통증이 있는 지 확인하는 과정입니다.
이렇게, 정말 급성 담낭염이라는 것이 확인이 되면 들어갈 경로를 결정합니다.
바늘과 배액관이 진입할 경로에 다른 장애물이 있는 지, 안전한 시술이 가능할 지 확인하는 작업이죠.
그 다음 배액관이 들어갈 자리에 소독을 하고, 초음파로 늘어난 담낭을 보고 이를 바늘로 찌릅니다.
바늘로 담낭이 잘 찔려졌는지 엑스레이 장비로 실시간으로 확인한 뒤, 배액관을 삽입합니다.


왼손으로는 초음파를 보면서, 오른손으로는 바늘을 들고 담낭을 천자합니다.
그리고 와이어 - 인트로듀서 쉬스 - 와이어 - 배액관 순서로 삽입하거나, 담낭이 늘어나있을 경우 바로 배액관이 들어가기도 합니다.
이 과정은 정말 신속해야하는데, 그 이유는 담낭염이 지속될 수록 담즙 정체로 인해서 담즙이... 쉽게 말해 썩게 됩니다.
이런 썩은 담즙이 복강 내로 흘러 들어가게 되면 엄청 아파하십니다.
시술 자체도 원래 아프답니다. (안 아프진 않습니다, 그래서 강력한 진통제를 사용하고 진행한답니다)
그래서 이 시술에 대해서 잘 아는 영상의학과 의사는 빠르게 진행하려고 최선을 노력을 합니다.



5. 배액관, 언제 뽑나요?
배에 주렁주렁 배액관을 달고 있으면 정말 불편하죠.
그래서, 환자분들은 이 배액관을 도대체 언제 뽑을 수 있을지 정말 궁금해들 하십니다.
우선 피검사를 통해서 급성 담낭염이 호전되고 있는지 확인해야 합니다.
또한 관을 통해서 담낭담관조영술을 시행해서 (이는 혈관조영실로 다시 오셔서 시행한답니다) 담낭관이 잘 열려 있는지, 담석이 혹시 남아 있는지 확인을 하고 아무 이상이 없다면 배액관을 제거하실 수 있습니다.
결국 담낭염이 완전히 해결된 뒤에 제거하기 때문에 정해진 기간 같은 것은 없습니다.
배액관 관리를 잘 하셔서 배액이 잘 되게끔 하시면 기간이 더 짧아질 수는 있겠죠?
관리가 잘 안 되서 자주 막히고 배액이 잘 안 되면 매번 병원에 (혈관조영실에) 다시 오셔야 하고피검사 결과도 다시 악화되고배액관을 다는 기간도 늘어나는 악순환을 겪으시게 됩니다.
다들 배액관 관리 잘 하시고 건강을 어서 되찾으시길 바랍니다.
배액관 관리법에 대해서는 다음에 따로 정리할 예정이오니 궁금하신 부분이 있으면 댓글주세요.
'인터벤션 > 비혈관 시술' 카테고리의 다른 글
| 인터벤션 영상의학과 전문의가 알려주는 경피적 카테터 배액술 (PCD) (0) | 2024.03.31 |
|---|---|
| 인터벤션 영상의학과 전문의가 알려주는 경피경간담즙배액술(PTBD) (0) | 2024.01.20 |
| 인터벤션 영상의학과 전문의가 알려주는 경피적 위루 설치술 (Percutaneous gastrostomy) (3) | 2024.01.20 |