혈액투석 동정맥루 혈관성형술 (AVF PTA_Arteriovenous fistula percutaneous angioplasty)에 대해 알아보도록 하겠습니다.
목차
2. 동정맥루 수술을 받으면 바로 혈액투석에 이용할 수 있나?
1. 혈액투석 동정맥루란?
투석을 위한 AVF는 "Arteriovenous Fistula"의 약자로서, 동맥과 정맥 간에 만든 연결을 의미합니다. 이 연결은 투석 시 혈액을 효과적으로 흘려보낼 수 있는 길을 제공하기 위해 만들어집니다.
투석을 위한 동정맥루는 일반적으로 혈관외과에서 수술로 형성하며, 주로 손목, 팔뚝에 위치합니다.
혈액을 빠르게 흘려보내기 위해 동맥과 정맥을 직접 연결하므로 혈류가 굉장히 빠른 것이 특징입니다.

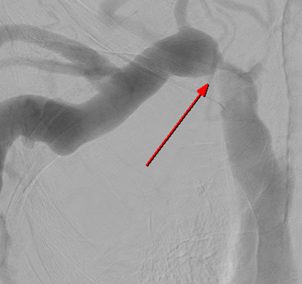
위 그림에서 보시는 것과 같이 동맥과 정맥을 수술로 연결해놓은 것이 동정맥루입니다.
이 인위적으로 만들어 낸 동정맥루에 주사연결을 해서 혈액투석에 사용합니다.
왜 굳이? 동맥과 정맥을 연결을 하냐? 생각하시는 분들도 있을 겁니다.
투석을 위해서는 혈관천자가 쉽고 (자주 하기 때문에) 충분한 혈류량과 혈류속도를 얻을 수 있어야(동맥과 연결하는 이유)하기 때문입니다.

2. 동정맥루 수술을 받으면 바로 혈액투석에 이용할 수 있나?
궁금하신 분들이 있을겁니다.
(본론은 혈관성형술인데 동정맥루 자체에 대해 궁금하신 분들도 많을 거니까요...!)
정답은 어떤 종류의 수술이냐에 따라 이용하기 까지의 기간이 서로 다릅니다.
동정맥루 수술은 자가혈관을 이용하는 자가혈관 동정맥루 (Autologous arteriovenous fistula)
그리고 인조혈관을 이용하는 인조혈관 동정맥루 (Arteriovenous graft fistula) 가 있습니다.
자가혈관 동정맥루는 수술로 환자의 동맥과 정맥을 직접 연결시켜주고 성숙에는 4~6주 정도 걸립니다.
사람마다 다르지만 보통 이 정도 걸리고요 초음파를 통해서 투석혈관이 성숙했는지 진단하고 사용할 수 있습니다 (직경, 혈류, 깊이가 6mm, 600ml/min, 6mm 미만 깊이)
인조혈관 동정맥루의 경우에는 2~4주 정도 걸립니다.
(일부 인조혈관의 경우 수술 후 24~72시간 안에 천자할 수도 있습니다 : polyurethane graft or multilayer ePTFE graft with selfsealing)
3. 투석혈관 기능부전
투석혈관 기능부전은 여러가지 이유로 투석혈관이 좁아지거나 막히는 현상을 말합니다.
동맥과 정맥의 압력 차이 때문에도 혈관이 좁아지고, 수술 중 (굉장히 조심하시지만) 혈관에 자극이 가서 연결 부위가 좁아지는 경우도 있고, 연결 했음에도 투석 혈관이 미성숙해서 넓혀지지 않는 경우도 있습니다.
(투석혈관 생성 후 미성숙 유병률은 brachiocephalic fistula 는 10% 미만, radiocephalic fistula 는 33% 이상입니다. 특히 여자, 노인, 아래팔 동정맥루에서 미성숙률이 높습니다.)
오랜 기간 당뇨, 고혈압 또는 만성신장병을 가지고 계신 경우에도 투석혈관이 좁아질 수 있습니다.

이런 기능부전이 있을 때 외과적 치료로는 혈전제거술(Thrombectomy revision), 패치 혈관 성형술(Patch angioplasty), 인조혈관삽입(Graft interposition) 등이 있습니다.
아무래도 수술이다 보니까 침습적이고 여러번 하면 할 수록 개통률이 감소한다는 단점이 있습니다.
인터벤션 치료로는 경피적 혈관성형술, 혈관내 스텐트설치술, 혈전용해술이 있습니다.
이 중 경피적 혈관성형술을 가장 자주 시행하므로 이에 대해 말씀드리겠습니다.
4. 혈관성형술이란?
경피적 혈관성형술 (Percutaneous angioplasty) 에 대해 말씀드리겠습니다.
경피적 혈관성형술이란 피부를 미세 절개한 뒤, 직접 혈관으로 접근해서 좁아진 혈관을 확장해주는 시술입니다.




투석용 동정맥루와 혈관성형술에 대해 알아봤습니다.
다음에 시술 자체에 대해 추가로 글 올릴 예정이오니
혹시 궁금하신 부분 있으시면 댓글달아주세요~
'인터벤션 > 혈관 시술' 카테고리의 다른 글
| 인터벤션 영상의학과 전문의가 알려주는 히크만 카테터 삽입 (2) | 2024.03.15 |
|---|---|
| 인터벤션 영상의학과 전문의가 알려주는 PICC 교체와 제거 (0) | 2024.01.20 |
| 인터벤션 영상의학과 전문의가 알려주는 투석용 카테터 삽입술 (Perm catheter) (0) | 2024.01.20 |
| 인터벤션 영상의학과 전문의가 알려주는 케모포트 (Chemoport) 시술의 모든 것 (0) | 2024.01.20 |
| 인터벤션 영상의학과 전문의가 알려주는 PICC 시술의 모든 것 (0) | 2024.01.20 |