인터벤션 전문의가 알려주는 케모포트 삽입 및 제거
안녕하세요 인터벤션 전문의 넛신입니다
오늘은 Chemoport (케모포트) 삽입 및 제거에 대해 알아보도록 하겠습니다.
목차
1. 케모포트(Chemoport)란 무엇인가요?
주로 항암치료를 받을 때 삽입하여 사용하므로 항암치료를 의미하는 Chemo(Chemotherapy) 와 Port 의 합성어입니다.
원래는 정맥포트라는 것이고 영어로는 Totally implantable venous port system 입니다
정맥포트는 카테터를 정맥에 삽입하고 이와 연결된 포트를 피부 밑에 심는 장치입니다.
말보다는 그림이죠?

2. 케모포트 삽입 시술 방법
케모포트는 내경정맥을 통해서 삽입합니다. 오른쪽 내경정맥에 특별한 문제가 없다면 거의 대부분 오른쪽 내경정맥으로 케모포트를 넣습니다.

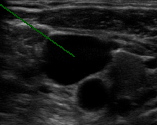
먼저 초음파를 통해 오른쪽 내경정맥을 확인합니다.
(저는 조영증강 CT가 있다면 CT도 확인하는 편 입니다. 가끔 어떤 이유로 오른쪽 내경정맥, 상대정맥 등에 문제가 생겨서 카테터가 들어갈 경로가 없는 분들도 있거든요.)

다음으로 오른쪽 내경정맥 바로 위의 피부 마취를 합니다. 내경정맥을 향해서 바늘이 찔러들어가므로 그 위쪽으로 마취를 하는 겁니다.

다음으로 쇄골 아래쪽 포트가 들어갈 주머니를 만들어야합니다.
쇄골 아래쪽으로 손가락 3개 정도 아래 부분에 마취를 넓게 합니다.
포트 크기는 2 내지 3cm 정도로 크고 높이도 1cm 가량 되는 사이즈로 작지 않기 때문에 포트 주머니가 될 피부 밑 공간에 충분히 마취를 해야 환자분들이 불편함 없이 시술을 받으실 수 있답니다.

마취가 끝나면 메스로 절개를 합니다.
우측 경정맥 천자 부위에 0.5cm 가량, 포트가 들어 가는 부위에 3cm 가량 조심스럽게 절개선을 만듭니다.

그 다음 켈리라는 도구로 피부 밑 공간을 넓혀줍니다. 이때 조금 느낌이 있다고들 하십니다. (마취가 충분히 되었다면 아프다고 하시는 분들은 없고 딱 이런 표현을 하십니다 "느낌있어요")

다음은 초음파를 보고 우측 내경정맥을 바늘로 천자합니다. 바늘의 굵기는 0.8mm 짜리를 씁니다.
지난번 PICC 에서 보여드렸던 바로 그 바늘입니다.

사실 이렇게 천자만 하면 거의 시술은 끝입니다. 정맥포트 시술은 PICC 보다도 쉬운 시술입니다.
다만 우측 내경정맥 아래에 바로 경동맥이 위치하므로 숙달되지 않은 사람이 하면 PICC 보다 훨씬 위험할 수 있습니다.

바늘이 들어가고 나면 바늘의 뒷 구멍으로 아주 가느다란 와이어를 삽입합니다. 와이어가 머리카락 처럼 가늘어서 이 와이어를 Hair wire 라고 부릅니다.
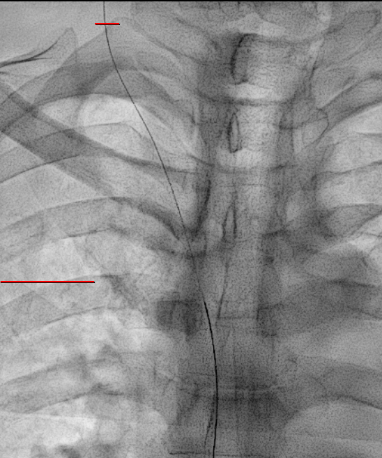
X-ray 를 보면서 이 와이어가 적절한 위치로 가는지 잘 봐야합니다.
대부분의 경우는 상대정맥으로 잘 내려가지만 내려가는 경로 상 기정맥(Azygos vein)이나 내흉정맥(Internal thoracic vein)이 있을 수도 있거든요.
이런 정맥들로 잘못 들어가게 되면 정맥포트가 금방 기능을 잃어버립니다.


이렇게 정맥포트를 삽입한답니다.
다음으로는 정맥포트가 삽입되고 나서 피부 절개부위를 봉합하는 것입니다.
역시 잘 닫고 나오는 것이 중요하겠죠
크게 두 가지 방법이 있습니다.
나일론으로 피부와 피하를 한 번에 봉합하는 방법이 있고 바이크릴 같은 녹는 실로 피하를 봉합한 다음 피부는 피부전용접착제를 사용하는 방법이 있습니다.
녹는실 + 접착제 조합은 흉터가 덜 남는다는 장점이 있지만 (그렇다고 안 남는 것은 아닙니다) 비보험이라서 추가비용이 5~10만원 정도 더 듭니다.

3. 케모포트 제거 방법
케모포트 제거 방법은 간단합니다.
포트가 들어있는 공간을 절개해서 포트를 꺼내는 것입니다.
포트의 재질에 따라서, 그리고 환자분께서 포트를 언제 넣었느냐에 따라서 케모포트와 조직이 유착된 정도가 달라서 제거하는 데 걸리는 시간이 달라집니다.
일반적으로 금속 재질의 포트가 제거하기가 상대적으로 쉽고, 플라스틱 재질은 유착이 심해 제거하는 데 시간이 좀 더 걸리는 편입니다.
4. 케모포트 시술 관련 합병증
출혈
- 절개를 많이 하기 때문에 출혈도 그만큼 많을 수 있습니다. 특히 피부 밑 공간을 만드는 중에 세동맥(arteriole)이 잘리는 경우가 종종 있습니다. 하지만 적절히 압박을 잘 해준다면 혈액응고이상이 없는 환자분들은 지혈이 잘 됩니다.
감염
- 카테터를 몸 속에 거치하는 것이므로 감염이 생길 수 있습니다. 이 경우 제거를 해야합니다.
피부 괴사
- 포트를 너무 얗게 넣는 경우, 포트 자체가 너무 큰 경우, 환자분이 너무 마른 경우 (피골이 상접) 포트 바로 위 피부가 괴사되는 경우가 있습니다. 이런 경우 제거를 하고 다시 삽입을 합니다. 너무 깊지도, 너무 얕지도 않게 잘 넣는 것이 포인트입니다.
포트 기능 이상
- 오랜 기간 거치를 해두고 사용하다보면 포트가 막힐 수 있습니다.
이런 경우 다시 시술실에서 막힌 포트를 뚫어주거나, 만약 잘 안 뚫린다면 기존 포트를 제거를 하고 새로 삽입을 해야합니다.
5. 케모포트 관리 방
중요한 것은 두 가지 입니다.
첫째, 바늘을 꽂을 때 구멍이 측방에 설치된 non-coring needle 을 사용해야 합니다.
보통 전용 바늘을 준비해주니깐 바늘로 인한 문제는 잘 안 생깁니다.

둘째, 사용 후에 헤파린을 이용해서 카테터와 포트 내부를 채워둬야 합니다.

헤파린은 혈전이 생기는 것을 막아주는 약물입니다. 간혹, 항암치료 후에 케모포트를 헤파린으로 채워두지 않아서 막히는 경우가 있답니다.
처치 받으실 때 잘 기억하고 계셨다가 챙기시면 좋습니다.
케모포트 삽입 방법에 대해 알아봤습니다.
궁금하신 내용 있으면 덧글 달아주세요.
'인터벤션 > 혈관 시술' 카테고리의 다른 글
| 인터벤션 영상의학과 전문의가 알려주는 히크만 카테터 삽입 (2) | 2024.03.15 |
|---|---|
| 인터벤션 영상의학과 전문의가 알려주는 PICC 교체와 제거 (0) | 2024.01.20 |
| 인터벤션 영상의학과 전문의가 알려주는 투석용 카테터 삽입술 (Perm catheter) (0) | 2024.01.20 |
| 인터벤션 영상의학과 전문의가 알려주는 - 혈액투석 동정맥루 혈관성형술 (AVF PTA) (0) | 2024.01.20 |
| 인터벤션 영상의학과 전문의가 알려주는 PICC 시술의 모든 것 (0) | 2024.01.20 |